Jeste li znali. Vadite srebrne plombe van iz usta i ozdravit ćete od mnogih bolesti!
Većina stomatologa i liječnika vjerojatno nikada neće priznati da su stomatološki materijali smješteni u vašim ustima uzrok mnogih bolesti i promjena u zdravlju čovjeka. Naime konvencionalna stomatologija uvelike je pridonijela porastu kroničnog umora, emocionalne nestabilnosti, depresije, urođenih mana, multipleskleroze, Alzheimerove bolesti kao i bolesti raka i drugih degenerativnih bolesti.
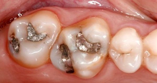
Najpoznatiji stomatološki materijal jeftine proizvodnje -srebrna plomba- koji se svakodnevno koristi u stomatologiji, potencijalno je smrtonosan je i opasan jer sadrži u sebi živu. Riječ je o Amalgamskoj srebrnoj plombi koja u svom sastavu ima čak 54% žive. Neki ljudi spomenutu plombu u ustima nose čak više od jednog desetljeća. Stomatolozi i Svjetska zdravstvena organizacija, negiraju optužbe stručnjaka koji upozoravaju na opasnost smrtonosnih plombi.
Dr. Hal Huggins, najpoznatiji stomatolog koji je prvi počeo razotkrivati istinu o smrtonosnim plombama te se sukobio sa cijelom svojom strukom je rekao da je i najmanja količina žive u ljudskom tijelu opasna. Uzeo je primjer ljudskog jajašca koje ako se na trenutak dodirne sa živom nerijetko gubi svoju sposobnost vezivanja za stijenku maternice čak i ako je oplodnja bila uspješna. Huggins upozorava da živa u ljudskim ustima ispušta pare 24 sata na dan te da može uzrokovati po život opasne bolesti. Najčešći uzročnik kroničnog umora upravo je živa koja se nalazi u ustima ljudi i djeluje konstantno, sve dok ju se ne izvadi.
Huggins je život posvetio besplatnom pružanju pomoći ljudima koji su otrovani živom kroz srebrne plombe. Nakon otkrivanja istine javnosti dobio je otkaz te teško odbacivanje struke a nastavio je djelovati obavještavati ljude o strašnim smrtonosnim materijalima koje stomatologija nosi sa sobom. Huggins upozorava ljude diljem svijeta govoreći :”Vadite srebrne plombe van i ozdraviti ćete od mnogih bolesti” Srebrne plombe počele su se koristiti još davene 1800- te u Francuskoj. Proširile su se na cijeli svijet i stomatolozi ih konstantno koriste. Njihova proizvodnja je jeftina i isplativa. Najčešće se stavlja ljudima koji stomatološku njegu traže preko socijalnog osiguranja.
Izvor: dnevno





