Izbjeljivanje zubi i liječenje desni kurkumom: Posebno dobro za zube pušača i ljubitelja kave!
Da, da, taj poznati, svestrani, čudesni žuti začin… Među stotinama ostalih dobrobiti, kurkuma će učiniti vaše zube svjetlijima za nekoliko nijansi i to u kratkom roku, prenosi uspesnazena.com.
Posebno je dobra za zube pušača i ljubitelja kave i crnog čaja.
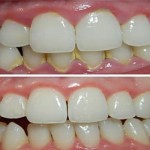
Ovo sredstvo potpuno je prirodno, ne sadrži tvari koje oštećuju zubnu caklinu i desni. Nakon samo tjedan dana redovitog korištenja ove izbjeljujuće paste na temelju kurkume, može se primijetiti odličan rezultat!
Ono što trebate učiniti je sljedeće:
Uzmite malo praha kurkume (oko 1/4 čajne žlice). Umočite u nju četkicu za zube i čistite zube na uobičajen način. Nakon čišćenja, ne ispirati usta odmah, nego ostaviti pastu 3-5 minuta.
Za ovo kratko vrijeme, kurkuma će učiniti svoja čuda.
Nakon tog vremena, temeljito ispiremo usta da se odstrane i najsitnija zrnca kurkume koja mogu ostati između zubiju. Rezultat je vidljiv već nakon prvog puta! Ali, ako niste zadovoljni, proceduru ponavljajte tijekom tjedna.
Možete napraviti i pastu: od 1/4 žličice kurkume i nekoliko kapi maslinovog ulja te koristiti kao u gornjem receptu.
I još, kurkuma ne samo da izbjeljuje zube:
Kao odličan antiseptik i prirodni antibiotik, ona liječi ranice i sitne pukotine, upalne procese u usnoj šupljini i pomaže kod krvarenja desni. Zaista čarobni prah.
Blistav, zdraviji osmijeh vam je osiguran. Iskoristite ovu provjerenu metodu i podijelite ovu korisnu informaciju sa svojima prijateljima.
Izvor: uspesnazena





