Kako ukloniti smeđe ili žute naslage zubnog kamenca pomoću samo jednog sastojka
Zubni kamenac je čest problem, i suvremena stomatologija predlaže dosta načina za njegovo uklanjanje. Ali, postoji metoda kojom se odlično rješava taj problem, a štedite i novac, prenosi uspesnazena.com.
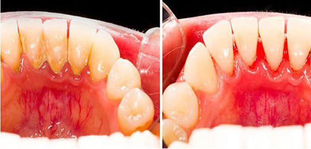
Temeljna higijena usne šupljine vrlo je bitna: ako se ne vodi briga o zubnoj caklini, i na vrijeme ne odstranjuje zubni kamenac, može se razviti upalno oboljenje kod koje infekcija dospijeva kroz korijen u sam zub, a koja izaziva i upalu mekog tkiva.
Na sreću, postoji prirodno sredstvo za prevenciju ove neugodne bolesti!
Kako ukloniti zubni kamenac u kućnim uvjetima
Bit će potrebno:
- 40 gr ljuske oraha
- 250 ml vode
Primjena:
Prokuhajte ljusku u vodi oko 20 minuta. Skinite s vatre i poklopite. Ohladite i procijedite. Namočite četkicu za zube u ovu otopinu na desetak minuta. Zatim njome temeljito očistiti zube, povremeno je umačući u otopinu. Ovu proceduru možete ponavljati i do tri puta dnevno.
Pripremljeni odvar možete koristiti 2 dana, poslije pripremite novi. Već nakon nekoliko dana rezultat će vas oduševiti!
Ljuska oraha je moćno antibakterijsko sredstvo, koja također pomaže čišćenju i zubne cakline od neugodnih naslaga. Ova procedura je korisna i onima koji pate od krvarenja desni: upala brzo nestaje.
Podijelite s prijateljima ovaj prirodni recept koji bezuvjetno djeluje.
Izvor: uspesnazena





