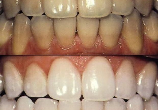
Sa samo jednim pranjem i jednim sastojkom možete izbijeliti svoje zube do savršenstva!
Za one koje žele iskoristiti domaću metodu izbjeljivanja zuba, odličan način je korišćenje aktivnog uglja. Ova metoda je stara, provjerena, bezbjedna, jeftina i opštedostupna.
Mnogi ljudi koji su koristili aktivni ugalj za izbjeljivanje zuba, zabilježili su efikasnost i jednostavnost ove procedure, piše uspesnazena.com! Pozitivni rezultati su vidljivi već poslije prve upotrebe. Ako se čišćenje sprovodi regularno, može se postići veoma izražen efekat.
Takođe, treba napomenuti, da za razliku od drugih popularnih i neprofesionalnih sredstava za izbjeljivanje zuba, aktivni ugalj nema negativnih posljedica u vidu upala desni i istanivanja zubne gleđi.
Kako izbjeliti zube aktivnim ugljem.
- Rastvoriti 2 tablete aktivnog uglja u manjoj količini vode.
- Sipajte nekoliko kapi vode u staklenu ili keramičku posudu i dodajte u nju izdrobljeni ugalj.
- U dobijenu smjesu umočite četkicu i perite zube 2 minute.
- Isperite usta a ako niste zadovoljni ponovite proceduru, mada ćete vidjeti razliku već nakon prvog ispiranja.
- Pokušajte pažljivo ukloniti sve tragove uglja iz međuzubnog prostora.
Aktivni ugalj je bezukusan i sama procedura ne izaziva nikakve neprijatne osjećaje. Takođe, možete jednostavno žvakati tabletu aktivnog uglja, a posle oprati zube pomoću četkice i paste. Takođe, možete posuti u prah isitnjeni ugalj na četkicu povrh paste za zube, i ovom smjesom oprati zube.
Aktivni ugalj ima blago abrazivno dejstvo i osjetićete kako vaši zubi škripe, očisćeni od otpornih naslaga, koje smogu ukloniti tokom uobičajenog higijenskog čisćenja. Ovom procedurom postići ćete sličan efekat kao poslije profesionalnog čišćenja zuba od naslaga i kamenca kod stomatologa.
Proceduru izbjeljivanja zuba aktivnim ugljem treba sprovoditi jednom u 7-10 dana (to zavisi od stanja vaše zubne gleđi i osjetljivosti zuba).
Izvor: uspesnazena





