Nije skupa, možete je sami napraviti: Ona tečnost uklanja plak sa zuba vrlo efikasno
Kažu da je osmijeh najkraća udaljenost između dvoje ljudi, a stomatologija je usmjerena upravo k tome: da vam podari zdrave i blistave zube o kakvima ste oduvijek sanjali. Možda niste svjesni činjenice da oralno zdravlje određuje cjelokupno zdravlje. Jedan od bitnih djelova procedure oralne higijene čini korištenje vodice za ispiranje usta.
Ona smanjuje prisustvo plaka, dok istovremeno poseže i bori se sa bakterijama koje su izbjegle pranje zuba. To je zapravo posljednji korak u otklanjanju bakterija i bacila. Štaviše, ostavlja čista usta i svjež dah.
Poznato je da se karijes može izliječiti adekvatnom njegom i pravilnom ishranom.
Prednosti korištenja domaće vodice za ispiranje usta:
Nije skupa – možete je sami napraviti i dobiti odlične rezultate
Vi kontrolišete sastojke – možete ukloniti naslage pomoću potpuno prirodnih i sigurnih sastojaka
Nema hemikalija – komercijalne vodice za ispiranje usta su pune brojnih aditiva poput štetnih hemikalija, vještačkih boja i zaslađivača i pojačivača ukusa
Danas možete vidjeti recept efikasne, jeftine, domaće vodice za usta, zasnovan na sodi bikarboni, koji će vam pomoći da uklonite naslage i imate blistav osmijeh.
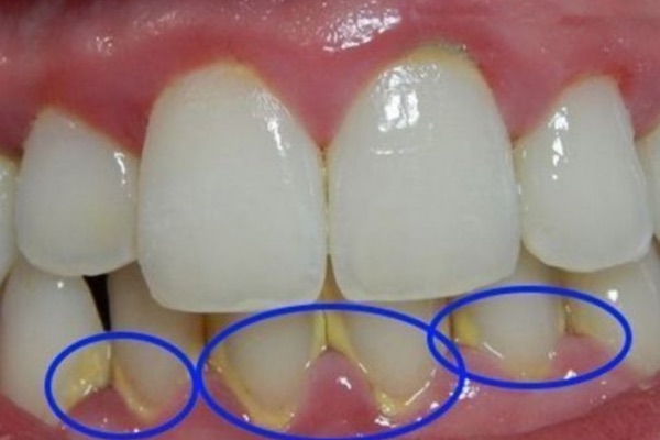
Soda bikarbona je svakako jedan od najmoćnijih čistača i može se koristiti na razne načine, uključujući i oralnu higijenu.
Ima moćno svojstvo uklanjanja mrlja i fleka, stoga se koristi često i za pranje zuba. Takođe ima antibakterijski kapacitet koji eliminiše naslage i mikrobe koji prouzrokuju karijes i loš dah.
Kako napraviti ovu vodicu:
Biće vam potrebno:
- 1 kašika sode bikarbone
- ½ kašičice soli
- ½ kašičice hidrogen peroksida
- 1 šolja hladne vode
- ½ šolje tople vode
- četkica za zube
- čačkalice
Uputstvo:
Kombinujte sodu bikarbonu i so, a zatim nakvasite četkicu za zube toplom vodom. Nanesite mješavinu na nakvašenu četkicu i istrljajte zube njom. Ispljunite i ponavljajte ovaj proces naredna dva minuta.
Nakon toga pomiješajte hidrogen peroksid sa toplom vodom i taj rastvor koristite da biste ispirali usta na jedan minut. Nakon toga ispljunite.
Na kraju iskoristite čačkalicu da biste uklonili naslage sa zuba. Isperite hladnom vodom.
Ponavljajte ovo dva puta sedmično.
Dodatni savjeti:
Zapamtite da nikada ne smijete gutati vodicu za ispiranje usta jer može da sadrži štetne sastojke.
Za optimalno oralno zdravlje, perite zube barem tri puta dnevno sa kvalitetnom pastom za zube.
Ljuta hrana podstiče lučenje pljuvačke, a pljuvačka prirodno sanitizuje usnu duplju.
Izvor: webtribune





