OTKRILA JE DA IMA RAK NA PLUĆIMA, SADA UPOZORAVA SVE: Ovo na rukama, nikad nemojte zanemariti!
Džin Vilijams Tejlor je bila zabrinuta kada je primijetila da joj se nokti povijaju na dole. Nakon konsultacije sa prijateljima, otišla je kod ljekara.
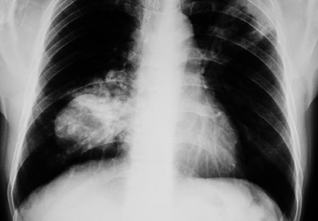
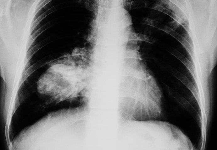
Džin je radila testove krvi, skeniranja i rendgenske snimke prije nego što su doktori shvatili da se bori sa rakom pluća. Nakon uspostavljanja dijagnoze, Džin je otkrila znak upozorenja koji nikada ne smete zanemarivati. Krivljenje i savijanje noktiju, može biti indikator kancera.
‘Prije dvije sedmice, okačila sam na Fejsbuk fotografije, pitajući da li je neko nekada vidio takve nokte. Kasnije me je nekoliko prijatelja posavjetovalo da odem kod ljekara. Tada sam mislila da nije ništa ozbiljno. Nakon dvije naporne sedmice, jučer sam dobila svoje rezultate … Imam rak pluća. – napisala je Džin.
Kada se nokti krive, to je često vezano za bolesti srca ili pluća, a zvanični termin je “clubbing”. Istraživanja potvrđuju da je ovo vrlo ozbiljan simptom bolesti pluća. Istraživanja kažu da je “clubbing” izazvan sakupljanjem tečnosti u mekim tkivima na krajevima prstiju, a to utiče na to da više krvi teče u to područje nego obično.
7 simptoma raka pluća na koje još treba da obratite pažnju:
1. Hronični kašalj
Kašalj koji ne nestaje nakon dve-tri sedmice ili dugotrajni kašalj koji se pogoršava su važni, rani simptom koji vam govore da nešto nije u redu sa vašim respiratornim sistemom.
2. Učestale infekcije u plućima
Infekcije pluća su uobičajene, naročito nakon prehlade ili gripa tokom jeseni i zime. Ali, ako ih se ne možete rešiti, to bi mogao da bude znak nečega ozbiljnijeg.
3. Bučno disanje
Bučno disanje je znak da vas nešto neobično sprečava da udahnete vazduh u pluća, ili ih čini suviše uskim, a to može biti uobičajen simptom da imate tumor.
4. Iskašljavanje krvi
Ako iskašljavate krv, ona može doći iz pluća ili iz gornjeg respiratornog trakta. Odakle god da dolazi, to signalizira zdravstveni problem.
5. Bol prilikom disanja
Bol prilikom disanja može biti rani simptom raka. Otežano disanje ili osećaj da ne možete da lijepo dišete su upozoravajući simptomi.
6. Umor i nedostatak energije
Svi se umaraju i ostaju bez energije s vremena na vrijeme, ali ako se konstantno osjećate iscrpljenim, obratite se svom ljekaru. Umor i nedostatak energije može biti znak plućne bolesti, ali to je i simptom dijabetesa tipa 2.
7. Gubitak apetita, neobjašnjiv gubitak težine
Ako ste neobično mnogo smršali za kratko vrijeme, ili ste iznenada odustali od svoje hrane, to bi mogao da bude znak nečeg ozbiljnijeg. Gubitak težine bez razloga može biti simptom raka na plućima.
Izvor: novi





