ZABORAVIĆETE NA ZUBARA: Spasite vaše ZUBE od propadanja u pet koraka.
Zdravlje zuba je veoma bitno i zato redovno idite na kontrole. Redovno ih perite i jedite zdravu hranu kako biste spriječili njihov kvarenje. Unosite dosta vitamina i minerala, posebno kalcija koji se nalazi u mliječnim proizvodima.
Također, jedite dosta zelenog povrća. Ono što će vam još dobro poslužiti za njegu i izbjeljivanje zuba jeste jedno od nazdravijih ulja- kokosovo ulje koje čak ima i i antikancerogeno dejstvo.
Ako imate pokvarene zube, to znači da niste zdravi. Problemi sa zubima se najčešće javljaju zbog loših navika. Zbog nezdrave prehrane, ako jedete mnogo slatkiša, pušite ili pijete alkohol.
Kao što smo već rekli, ako vam se baš često kvare zubi, to može biti ukazivati na postojanje problema sa nekim organom.
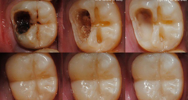
Kada uočite simptome, bitno je da odete zubaru. Ono što vam još može pomoći za liječenje problema sa zubima(najčešće karijesom) jeste ova prirodna pasta koju ćete sami napraviti:
Sastojci
- 2 kašike kokosovog ulja
- Vrlo malo sode bikarbone (ne stavljajte puno jer velik ekoličine i prečesta upotreba za zube, može oštetit zubnu gleđ, ali dobro će vam poslužiti za čišćenje zuba, ako je koristite u malim količinama)
- Kašika vode
- Nekoliko kapi eteričnog ulja nane
Priprema
Pomiješajte ove sastojke u pastu i nanesite je na zube i dobro ih iščetkajte, ostavite koju minutu, a zatim isperite. Dobro će vam doći.
S vremena na vrijeme koristite samo kokosovo ulje za izbjeljivanje zuba, ali i pripremu hrane.
Izvor: megagiga





